การจัดฟันแบบดามอน (Damon)
เป็นมากกว่าการจัดฟันธรรมดา จัดฟันดามอน เป็นนวัตกรรมการจัดฟันสมัยใหม่ ที่มีจุดเด่นในการทำงานของเครื่องมือจัดฟัน ออกแบบมาให้คนไข้รู้สึกสบายมากขึ้น เจ็บน้อยลง โดยระบบของการจัดฟันแบบดามอน เป็นการผสมผสาน ระหว่าง Self-ligating brackets, Hi-tech arch wires เครื่องมือสมัยใหม่ ที่ช่วยเคลื่อนฟันได้เร็วขึ้น และด้วยความเรียบลื่นของวัสดุนี้ จะช่วยให้คนไข้รู้สึกระคายเคืองน้อยลง อีกทั้งยังมีความแข็งแรงและยืดหยุ่น
Damon 3MX ได้รับการพิสูจน์ทางการแพทย์แล้วว่า สามารถช่วยย่นระยะเวลาการรักษาให้สั้นลง มีประสิทธิภาพสูง ไม่ต้องมาพบคุณหมอจัดฟันทุกเดือน เจ็บน้อยลงเนื่องจากแรงต้านทาน และแรงเสียดทานที่เกิดขึ้นจากการจัดฟันลดน้อยลง และสร้างความสะดวกสบายให้กับคนไข้มากขึ้น เพราะการระคายเคืองปากที่ลดลง เรียกได้ว่า ฟันสวยเร็วขึ้น แต่เจ็บน้อยลงนั่นเอง
การจัดฟันดามอน (Damon system) มี 2 แบบ
ดามอนคิว (Damon Q) เครื่องมือจัดฟัน หรือ แบร็คเก็ต เป็นสีโลหะ เมื่อติดเครื่องมือจัดฟันชนิดนี้ เวลายิ้ม พูดคุย หัวเราะ จะเห็นเครื่องมือจัดฟันชัดเจน
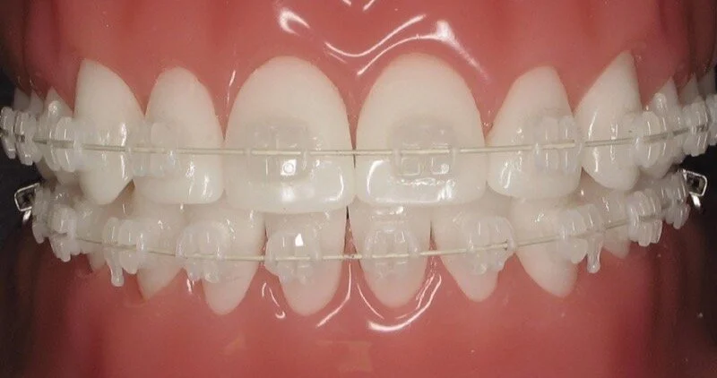
ดามอนเคลียร์ (Damon Clear) เครื่องมือจัดฟันจะมีสีขาวขุ่น เหมือนกับสีฟัน ทำให้เมื่อติดลงบนฟันจะมองเห็นเครื่องมือไม่ชัดเจน เหมาะสำหรับผู้ที่ต้องการให้มีบุคลิกภาพที่ดีระหว่างจัดฟัน
ขั้นตอนการจัดฟันแบบดามอน
คุณหมอจัดฟัน Xray เพื่อวิเคราะห์ ตรวจและประเมินสภาพช่องปาก
การวางแผนการรักษา
การพิมพ์ปากเพื่อเตรียมอุปกรณ์การจัดฟัน
หมอจัดฟันจะทำการติดเครื่องมือจัดฟันตามแนวทางแผนการรักษา
คนไข้กลับมาตรวจสภาพฟันและการปรับเครื่องมือทุกๆ 6- 8 สัปดาห์
ใส่เครื่องมือคงสภาพฟัน (Retainer) หลังจากที่ได้รับการถอดเครื่องมือจัดฟันเพื่อป้องกันการล้มหรือการเกของฟัน
การดูแลรักษาระหว่างจัดฟันดามอน
การดูแลรักษาความสะอาดฟันและช่องปากอย่างถูกวิธี และการพบหมอจัดฟันตามนัดอย่างสม่ำเสมอ รวมถึงการปฏิบัติตามคำแนะนำของหมอจัดฟันเป็นสิ่งสำคัญสำหรับการจัดฟันอย่างยิ่ง เพื่อช่วยให้การจัดฟันสามารถประสบความสำเร็จอย่างรวดเร็ว
สำหรับผู้ที่มีปัญหา โรคเหงือก การพบทันตแพทย์ผู้เชียวชาญด้านการรักษาโรคเหงือกตลอดเวลาการจัดฟันเป็นเรื่องที่สมควรอย่างยิ่ง
จัดฟัน Damon ดีกว่าการจัดฟันแบบอื่นอย่างไร
การจัดฟันดามอน เป็นการจัดฟันที่อยู่ในกลุ่มเครื่องมือ Self ligating brackets เป็นเครื่องมือจัดฟันแบบใหม่ที่ออกแบบมาเพื่อลดแรงเสียดทานของเครื่องมือขณะที่ใช้เคลื่อนฟัน ทำให้การเคลื่อนฟันมีประสิทธิภาพมากขึ้น ประกอบกับประสิทธิภาพของลวดชนิด Hi-tech light-force archwires ที่ช่วยให้ฟันเคลื่อนที่ได้เร็ว เพียงใช้แรงเบาๆ ซึ่งได้มีการพิสูจน์ทางการแพทย์แล้วว่าให้ผลลัพธ์ที่น่าพึงพอใจทั้งกับหมอจัดฟันและคนไข้
ผลลัพธ์ที่เกินความคาดหมาย
คนไข้รูสึกเจ็บน้อยลง
ช่วยย่นระยะเวลาการรักษาให้สั้นลง ที่ให้ผลเร็วกว่า
ช่วยลดจำนวนครั้งที่ต้องพบคุณหมอจัดฟัน
คนไข้รู้สึกสบายมากขึ้น เนื่องจากการระคายเคืองที่ช่องปากลดลง
ลดความจำเป็นของการถอนฟัน
ไม่จำเป็นต้องใช้เครื่องมือเสริมชนิดอื่นๆ
การจัดฟันช่วยเสริมความมั่นใจให้กับรอยยิ้ม บุคลิกภาพ จากการที่มีฟันเรียงกันสวยงาม คืนรอยยิ้ม และความมั่นใจให้กับคนไข้
รีวิวจัดฟัน
กรอกข้อมูลให้ติดต่อกลับ
ตัวอย่างเคสการรักษา


